Regenerira jetrne celice
Čisti kri
Izboljša metabolizem
Normalizira hormonsko ravnovesje
RESNE ZDRAVSTVENE TEŽAVE JE LAHKO ODKRITI PO ZGODNJIH SIMPTOMIH
Utrujenost
Porumenelost kože in oči
Prebavne motnje
Izguba apetita
Neprijeten zadah
ZUNANJI DEJAVNIKI POVZROČIJO VNETJE JETER IN JIH SČASOM UNIČIJO
Faza I
HEPATOZA Zamaščena bolezen jeter
Faza II
AKUTNO VNETJE
Faza III
FIBROZA Zamenjava jetrnega parenhima z brazgotinskim tkivom
Faza IV
CIROZA Razpad jeter
STROKOVNJAKI POTRJUJEJO NJEGOVO UČINKOVITOST
Ivanka Zoric Strokovnjakinja
Jetra ščitijo telo pred zunanjimi dejavniki in odstranjujejo strupene snovi iz krvi. Jetra delujejo kot filter, zato potrebujejo občasno čiščenje.
Liv Caps pomaga zaščititi jetra, obnoviti poškodovane celice in preprečiti razvoj bolezni. Učinkovit je pri hepatozi, fibrozi in toksično-medicinskem hepatitisu.
Naloga izdelka je pomagati jetrom pri pravilnem delovanju, jih zaščititi in obnoviti v rekordnem času.
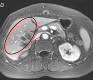
MRI pred terapijo
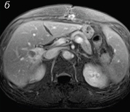
MRI 30 dni po začetku terapije
Liv Caps
SKRBI ZA VA E ZDRAVJE
€
Omejena količina ponudbe
€
Priporoča Združenje hepatologov
50% popust


Imam podedovano bolezen jeter, zato redno jemljem podporna zdravila.
Liv Caps je trenutno moj najljubši izdelek. Resnično pomaga, nima stranskih učinkov in vsakič, ko ga vzamem, čutim dvig energije.